Les techniques d'éclaircissement dentaire sont maintenant bien définies et leurs résultats très satisfaisants. Elles répondent à une deande croissante des patients désirant apporter lumière et santé à leur sourire.
Publications news room
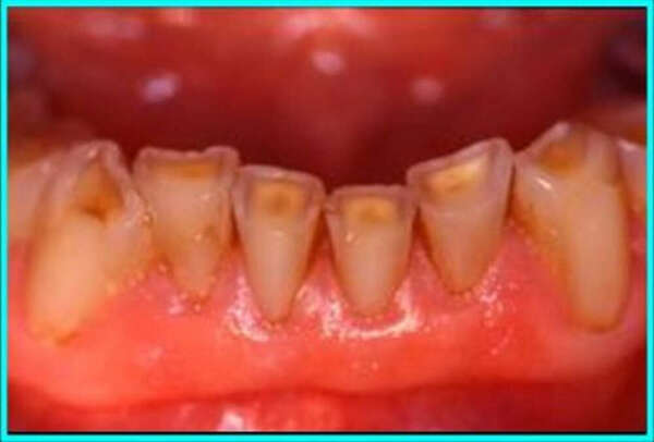
Le bruxisme est omniprésent dans notre quotidien mais très mal connu. Son diagnostic et son traitement améliorerait très significativement le confort de vie des patients.
L'usure dentaire correspond à la détérioration que produit l'usage et le frottement. Si ce phénomène est physiologique il peut provoquer des douleurs violentes nécessitant un diagnostic et une prise en charge thérapeutique qui doivent alors se faire rapidement.
Aujourd'hui grâce aux évolutions constantes dans le domaine informatique, le processus de réalisation des prothèses dentaires peut-être géré numériquement de A à Z.



